Галерея наших робіт
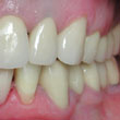
Металокерамічні конструкції. Суцільнокерамічні конструкції на основі оксиду цирконію.
Протезування на імплантатах
Керамічні вініри. Керамічні вкладки
Бюгельні протези
Головна
Про нас
Філософія
Новини
Технологія T-CAM
Галерея наших робіт
Навчальні курси
Інформація про курси
Фото з проведених курсів
Контакти
Українська
English
Polska
Новини
Лекція Клода Зібера в Україні.